For any given trait, dominant phenotypes usually outnumber recessive phenotypes in a population. This is because both homozygous dominant and heterozygous individuals will have the dominant phenotype. Only homozygous recessive individuals will have the recessive phenotype. Does this mean that the number of dominant alleles will always be getting larger? Consider the following example:
![]() |
![]() |
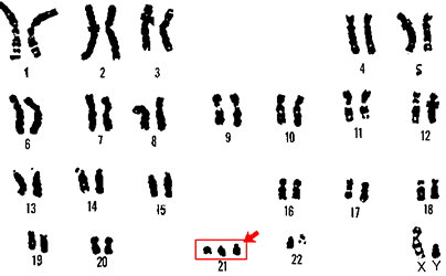
| Young Girl with Down syndrome. | Chromosomes from an individual with Down syndrome showing three copies of chromosome 21. |
Down syndrome is a human disorder with symptoms that include short stature; stereotypical facial features, such as a flattened, rounded face; low muscle tone, and varying degrees of mental retardation. This syndrome is caused by a single mutation event--duplication of the 21st chromosome, which is inherited from one parent. It causes three copies of chromosome 21 in each cell. This is a dominant mutation in that you do not need to inherit it from both parents to have the disease phenotype. Although this mutation is dominant, it is not more prevalent than having a normal number of chromosome 21 copies. This is due to factors that limit its spread from generation to generation, such as impaired reproductive systems or an absence of sexual activity. Dominance does not determine how the presence of an allele will change in a population. Instead, it is influenced by evolutionary forces, such as sexual selection, natural selection, and genetic drift.
In 1908, the English mathematician G. H. Hardy and the German physician Wilhelm Weinberg independently came to this conclusion. Hardy and Weinberg realized that the proportions of alleles for each gene (in a particular population) should not change unless the population is evolving. This became known as the Hardy-Weinberg principle.
In northern Europe, most people have blue or green eyes. Only about 20% of people have brown eyes. Does this mean that the allele for brown eye color is recessive?
- Yes. It is a less frequent phenotype, so the allele for it must be recessive.
- Yes. Recessive alleles will always decrease in frequency.
- No. Frequency of phenotype does not correspond to allele dominance and recessiveness.
- No. Recessive alleles will always be higher in frequency.
The prevalence of alleles and their corresponding phenotypes are affected by evolutionary forces, not dominance and recessiveness. For example, in Africa, most people have brown eyes.
The prevalence of alleles and their corresponding phenotypes are affected by evolutionary forces, not dominance and recessiveness. For example, in Africa, most people have brown eyes.
The prevalence of alleles and their corresponding phenotypes are affected by evolutionary forces, not dominance and recessiveness. For example, in Africa, most people have brown eyes.
The prevalence of alleles and their corresponding phenotypes are affected by evolutionary forces, not dominance and recessiveness. For example, in Africa, most people have brown eyes.
Summary
Questions answered correctly:
Questions answered incorrectly:

